Andrew has officially made it through his first month in college. Andrew and Alexis are really enjoying their time in the U. It is a great fit for them! The professors and classes are super good. In his chemistry class they have been recently learning about Molecular Shape, Bonding Theories, and Thermodynamics. In Andrew’s Chemistry Lab he has been conducting a 4 week lab surrounding identifying an unknown white compound using different tests (like the flame test, anion test, and solubility test) and then synthesizing it and rerunning tests to confirm the identity of the UWC.
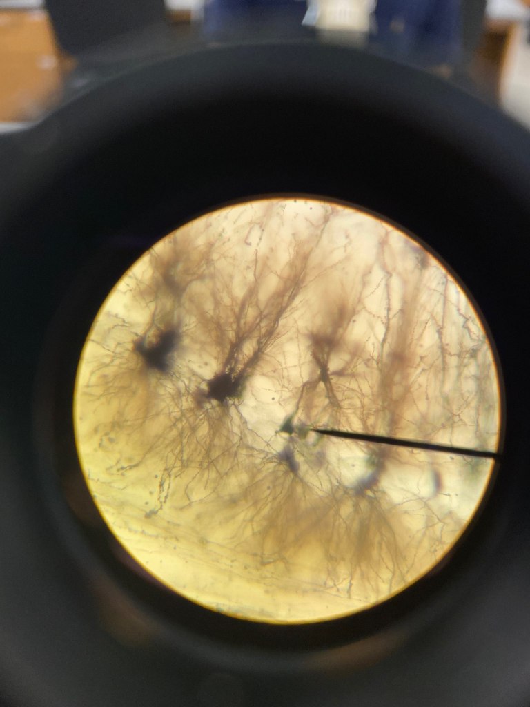
In his Neuroanatomy lab, Andrew has been looking at neurons at the microscopic level and he got to perform Prussian Blue staining on a sheep brain using Mulligan’s solution, 1% ferric chloride, and 1% potassium ferrocyanide. This allows for the clear distinction of gray matter and white matter in the brain. Andrew’s group was actually given a sheep brain with a massive tumor in it, and he had to request a new one because the tumor had completely taken over the cerebral cortex and there was no way to identify any structures. You can see the tumor brain compared to a healthy brain pictured below.
In Andrew’s Mass Media and Popular Culture Journalism he has been discussing numerous topics over the last couple weeks. The central idea is the role of Mass Media and Popular Culture in different areas. He watched this documentary called The Social Dilemma on Netflix. It dives into society’s addiction to technology and how our brains have been essentially trapped into technology addiction all for the sake of advertisement companies making money. The movie includes statements and interviews with people who were big players in creating social networking platforms like Instagram and Facebook. As young adults growing up in a social media based society the movie really made us reassess our technology usage and the effect it has on our lives and those around us.
In his free time Andrew has been spending his time at the Bowling Lanes and walking around campus and enjoying the fall colors, and going to his first gopher game.






